– Jag har haft problem med bettet sedan barndomen och genomgått flera olika typer av tandregleringar under skoltiden. Några av tänderna var sneda i både över- och underkäken, vilket störde mig. Dessutom lutade ett par undertänder inåt, vilket påverkade både tal och ätande, berättar Petra, 38, som jobbar inom reklambranschen.
Tandregleringen blev aktuell igen när Petra planerade sitt bröllop. Hon upplevde att det var ett bra tillfälle att ta tag i något som länge stört henne och göra något åt saken. Hon hade läst om Invisalign-behandling och tog kontakt med Hammashoiva i Vasa.
Invisalign-erfarenheter: ”Man vänjer sig förvånansvärt snabbt”
– Jag kände ingen som gjort en Invisalign-behandling, så jag hade inga förväntningar. Det tog lite tid att vänja sig vid tandskenorna, särskilt när man bytte till ett nytt par kunde det spänna och strama i början. Men den känslan gick snabbt över och användningen började gå på rutin. Även om tandskenorna ofta marknadsförs som ”osynliga”, är det nog inte helt sant. Det var ändå inget som störde mig, eftersom det var lätt att ta ut dem tillfälligt inför ett möte eller exempelvis under en utekväll. Så länge motivationen för tandregleringen fanns där var det inga problem att komma ihåg att sätta in tandskenorna igen.
Resultat av tandreglering med skenor efter bara några månader
Tandläkare Heidi Vidjeskog betonar vikten av regelbundna byten av tandskenor och möten med kunden för att följa upp resultaten:
– Tändernas rörelse är så långsam att det är svårt att se skillnad från en dag till en annan. Därför är det intressant för kunden att se resultaten av tandregleringen vid våra kontrollbesök. Med hjälp av datorprogrammet som vi använder kan vi jämföra tändernas position före och efter och då syns förändringen tydligt, konstaterar Vidjeskog.
För Petra var skillnaden som tandregleringen medförde mest betydelsefull för henne själv:
– Jag hade inte så stora problem att det var något som utomstående reagerade på, men min familj och mina närmaste har också märkt skillnad. För mig är det ändå viktigast att jag själv ser och känner skillnaden.
Vidjeskog tillägger:
– Många som påbörjar behandlingen har varit missnöjda med sina tänder länge och har kunnat fundera på tandreglering i flera års tid. När de slutligen kommer på konsultation och får höra vad som är möjligt att åstadkomma, ofta på kort tid, blir de glatt överraskade. Samtidigt ångrar många att de inte sökt hjälp med tandreglering redan tidigare.
Tandreglering som vuxen är en investering som lönade sig
Petra är nöjd med sitt beslut att påbörja tandreglering med skenor. Hon upplever att behandlingen har varit värd pengarna:
– Jag känner mig bekvämare att le och visa tänderna på bild. Det känns som att det man försökte fixa med tandreglering när jag var barn, nu äntligen har blivit fixat. Om man stör sig på hur tänderna ser ut så tycker jag absolut att det är värt att göra något åt det. Det kostar en del, men slutresultatet är värt pengarna. Det finns olika betalningsalternativ för behandlingen, vilket jag själv också utnyttjade.
Hur hållbart är resultatet av tandreglering med skenor?
Enligt tandläkare Heidi Vidjeskog beror slutresultatet och behandlingens längd mycket på utgångsläget, personens ålder och hurudant bettet är i början av behandlingen. Saker som man själv kan påverka är motivation, god munhygien och att använda tandskenorna konsekvent. Då blir resultatet både hållbart och utmärkt.
Petra, som är nöjd med hur tänderna ser ut idag, håller med:
– Resultatet beror mycket på en själv. Att man faktiskt använder skenorna och inte slarvar. Mitt resultat blev inte exakt som 3D-simuleringen, men jämfört med hur mina tänder såg ut innan så är de nu märkbart rakare. Jag är mycket nöjd med hur tänderna ser ut nu. Jag kan varmt rekommendera Hammashoiva, att gå till dem är trevligt och enkelt.
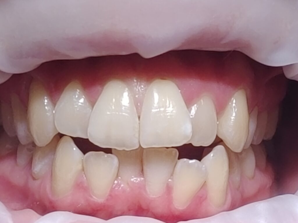
Tänder före Invisalign-behandlingen:

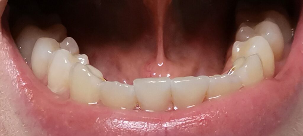
Tänder efter Invisalign-behandlingen:

